간혹 뉴스에서 갑자기 생명을 잃는 사람에 대한 소식을 접할 수 있습니다. 오랜 시간 게임을 하던 사람이 갑자기 사망했다든지, 비행기를 타고 이동하던 승객이 갑자기 사망했다는 이야기입니다. 2016년 일본에서는, 지진으로 자동차에서 피난 생활을 하던 여성이 갑자기 사망한 소식이 들리기도 했습니다.

이코노미 클래스 좌석 (이미지 출처 : commons.wikimedia.org)
바로 이코노미 클래스 증후군(Economy Class Syndrome)이라 불리는 심부 정맥 혈전증에 의한 폐 색전증이 원인이 되었기 때문입니다. 폐 혈관이 혈전에 의해 막히면서 호흡곤란이 생기고 사망에도 이르게 하는 질병입니다.
이번 시간에는 급성 사망의 원인 중 하나이기도 한 ‘폐 색전증(Pulmonary thromboembolism)’에 대해 알아보도록 하겠습니다.
폐 색전증(Pulmonary thromboembolism)이란?
어떤 물질이 폐 혈관을 막아 나타나는 증상의 질병을 ‘폐 색전증’이라고 합니다. 색전이라는 말 자체가 ‘혈관을 막는 것’ 또는 ‘혈관을 막는 물질’을 의미하며 색전증은 어떤 물질이 혈류를 타고 이동하다가 어느 혈관이 막히면서 나타나는 증상을 말합니다.

저작권 : tussik13 / 123RF 스톡 콘텐츠
‘혈전에 의한 색전증’과 ‘혈전이 아닌 물질에 의한 색전증’으로 구분합니다. 혈전이 색전의 원인이 되는 경우가 많기 때문입니다. 혈전은 핏덩어리입니다. 우리가 일반적으로 피가 날 때 생기는 피딱지라고 생각하면 됩니다.
이런 피딱지가 혈액 속에서 이동하다가, 피딱지보다 지름이 작은 혈관을 만나면 이를 막게 됩니다. 막힌 부분부터는 피가 통하지 않게 되면서 증상이 나타납니다. 혈전만 혈관을 막는 건 아닙니다. 혈전이 아닌 다른 물질도 색전증을 유발할 수 있습니다. 공기, 지방, 양수 등이 그것입니다.
보통 폐 색전증이라고 말하면 ‘혈전에 의한 폐 색전증’을 지칭하기 때문에 이번 글에서는 혈전에 의한 폐 색전증을 중심으로 말씀드리겠습니다.
원인
폐 색전증을 일으키는 원인은 다양합니다. 외상(Trauma), 수술, 부동자세, 임신과 산후기간, 약물, 암 등이 그 원인입니다. 외상을 입었거나 큰 수술을 받는 것은 신체가 커다란 물리적 변화를 겪는 상황입니다. 혈액도 영향을 받아 혈전이 잘 발생하는 몸 상태가 됩니다.

움직임의 제한으로 누워만 지내는 경우에도 혈전이 잘 발생합니다. 움직임이 없다면 혈액 순환이 원활하지 않게 되고 혈액이 정체되기 때문입니다. 임신과 산후기간에는 몸이 과응고 상태(피가 쉽게 굳어버리는 상태)가 되므로 혈전 발생 가능성이 커집니다.
피임약이나 호르몬 제제가 포함된 일부 약물도 과응고 상태를 만들기 때문에 혈전이 잘 발생하고 폐 색전증이 잘 생길 수 있습니다. 암세포도 폐 색전증을 일으킬 수 있는데, 반대로 폐 색전증이 발생한 환자의 원인을 찾다 보면 암이 발견되는 경우도 있습니다.
이처럼 폐 색전증이 발생할 수 있는 주된 원인은 혈액 응고가 잘 되는 상황 때문임을 알 수 있습니다.
폐 색전증의 증상
폐 색전증을 발견하는 가장 흔한 경우는 입원하며 누워있던 환자가 갑자기 호흡곤란을 호소하는 경우입니다. 가장 중요한 병력은 ‘갑작스럽다’는 것입니다. ‘갑작스럽다’라는 것은 비교적 호흡에 문제가 없던 사람이, 기존의 건강 상태를 고려하더라도, 이해하기 어려운 호흡곤란을 빠르게 호소하는 정도입니다. 폐 색전증은 일반적으로 서서히 숨이 차지 않기 때문입니다. 갑자기 심한 호흡곤란이 생긴다면 반드시 한 번쯤은 폐 색전증을 의심해야 합니다.

저작권 : tharakorn / 123RF 스톡 콘텐츠
흉막성 가슴 통증, 기침, 피 섞인 가래 같은 증상도 나타날 수 있습니다. 폐 색전증이 심하다면 청색증, 실신 같은 증상도 나타납니다. 또한 급성으로 심각하고 빠르게 진행하는 폐 색전증의 경우에는 단기간에 생명이 위독해질 수도 있습니다.
폐 색전증은 심부 정맥 혈전증(Deep Vein Thrombosis)이 원인 질환인 경우가 흔합니다. 따라서 폐 증상 이외에 심부 정맥 혈전증에 의한 증상도 같이 있을 수 있습니다. 다리 쪽의 통증, 붓기, 국소 열감 등의 증상이 그런 증상입니다.
검사와 진단
폐 색전증이 의심된다면 여러 검사를 해야 합니다. 기본적으로 혈액검사, 가슴 X선 촬영, 심전도검사를 시행합니다.

혈액검사에서는 ‘D-Dimer’라는 검사 수치를 확인해야 합니다. 폐 색전증 환자의 90% 이상에서 이 수치가 높게 측정됩니다. 그러나 이 검사 항목은 심근경색, 폐렴, 심부전, 암 등의 질병에서도 높게 나타날 수 있습니다. 따라서 이런 질환이 없는 환자가 폐 색전증이 있다면 도움이 될 수 있습니다.
D-Dimer의 장점은 음성 예측도가 높다는 것입니다. 음성 예측도란 검사에서 음성이 나왔을 때 실제로 병이 없을 가능성을 뜻합니다. 만약 폐 색전증이 의심되는 환자를 대상으로 D-Dimer 검사를 했더니 음성이었다면, 이 환자는 폐 색전증이 아닐 가능성이 매우 높다는 뜻입니다. 즉, 폐 색전증을 배제하기 위해 사용할 수 있다는 장점이 있습니다.
혈액검사에서 BNP(B-type Natriuretic Peptide)와 트로포닌(Troponin)이라는 항목도 확인할 수 있는데, 폐 색전증 환자에서 이 수치가 높아지기 때문입니다. 또 기본적으로 동맥혈 가스분석(ABGA)도 시행합니다.
가슴 X선 검사는 드물게 이상 소견을 보일 수 있고 심전도에서는 폐 색전증에 의한 특징적인 이상 소견을 확인할 수 있습니다.
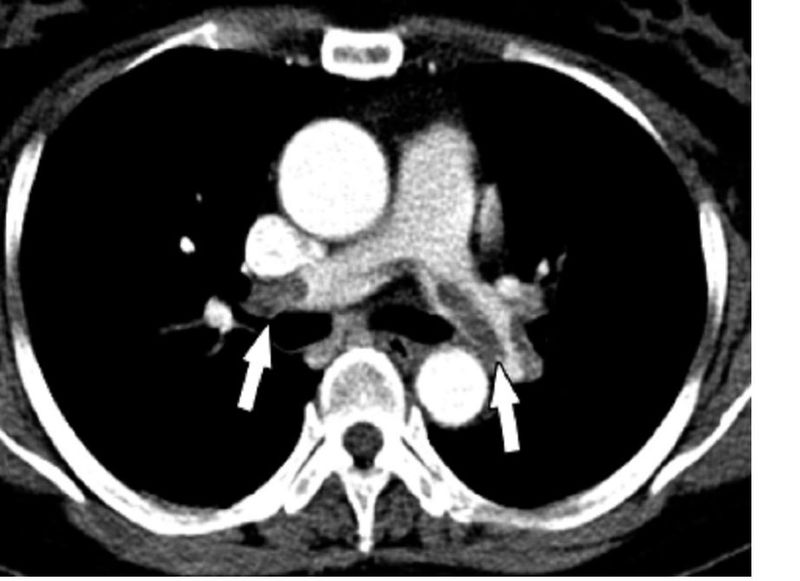
폐 색전증을 진단하는 데 있어서 중요한 검사는 바로 폐 전산화 단층 촬영(CT), 폐 환기 관류 스캔(Lung Ventilation-Perfusion Scan), 폐 동맥 혈관 조영술(Pulmonary Angiography), 심장 초음파 등입니다.
특히 폐 전산화 단층 촬영(CT)은 폐 색전증을 진단하는 데 가장 유용한 검사인데, 폐 혈관을 막고 있는 혈전을 확인함으로써 진단할 수 있습니다. 요즘에는 해상도도 좋아지고 있고 CT 혈관 조영술의 기법도 있어서 더 작은 혈전을 발견할 수 있습니다.

폐 색전증 환자의 CT 이미지 (출처 : 위키 미디어)
폐 동맥 혈관 조영술(Pulmonary Angiography)은 폐 색전증을 가장 정확히 진단할 수 있는 검사입니다. 혈관을 통해 카테터를 폐 혈관까지 접근시키고 폐 혈관 내 혈액 흐름을 봅니다. 혈전 때문에 혈류가 원활하지 않은 곳이 있는지를 확인하면 진단할 수 있습니다.
그 밖에 심장 초음파 검사로 폐 색전증을 확인할 수도 있습니다. 그러나 이는 폐 색전증 자체를 확인한다기보다는 폐 색전증과 비슷한 증상을 보일 수 있는 심근 경색, 심낭 압전 같은 다른 질병을 확인할 수 있다는 장점이 있습니다. 폐 색전증은 심부 정맥 혈전증을 잘 동반하기 때문에 심부 정맥 혈전을 확인하기 위한 초음파 검사를 해서 폐 색전증이 있으리라 예측해보기도 합니다.
치료
폐 색전증에 대한 치료는 내과적 치료와 외과적 치료가 있습니다.
내과적 치료에는 약물치료와 하대정맥 필터가 있습니다. 대표적인 약물치료가 바로 항응고 치료(Anticoagulation)입니다. 혈전은 한번 생기면 혈전 주위로 피가 잘 응고되면서 크기가 점차 커지는 특징이 있습니다. 항응고 치료는 바로 혈전 주위에서 응고되는 작용을 막는 역할을 합니다.
즉, 이미 생긴 혈전을 녹여 없애는 효과를 기대하는 치료법은 아닙니다. 혈전 주위에 추가로 형성되는 혈전을 막기만 해도 몸속에 있는 섬유소 용해가 일어나 결국에는 혈전이 줄어들면서 사라집니다. 헤파린(Heparin), 와파린(Warfarin) 같은 약제가 있습니다.
혈전용해제를 이용하는 약물치료 방법도 있습니다. 이는 직접 혈전을 녹이는 약물을 혈관으로 주입하는 것입니다. 혈전을 없애는 데 도움이 되지만 반대로 출혈 등의 심각한 부작용이 생길 수 있으므로 환자 상태에 따라 투여하는 것을 신중하게 결정합니다.
하대정맥 필터는 하대정맥이라는 큰 혈관에 ‘체’와 같은 필터를 설치해 놓는 것입니다. 심부 정맥 혈전증으로 발생할 수 있는 폐 색전증을 걸러내서 예방하고자 하는 목적입니다.

하대정맥 필터 (출처 : 위키 미디어)
외과적 치료에는 혈전 제거술(Thromboembolectomy)이 있습니다. 말 그대로 폐 혈관을 막고 있는 혈전을 수술로 접근해서 물리적으로 제거하는 것입니다.
경과와 합병증

폐 색전증은 색전 정도에 따라 병의 경과도 다양하게 흘러갑니다. 아주 작은 폐 색전증은 증상을 일으키지 않을 수도 있습니다. 색전 정도가 심하면 심한 저산소혈증이나 혈압이 떨어지는 쇼크(Shock)가 나타날 수 있습니다.
폐 색전증을 치료하지 않은 환자의 약 30%는 사망한다고 합니다. 적절하게 진단하고 치료하면 사망률은 2~8% 정도가 됩니다.
예방과 관리
원인에서 말씀드렸듯이 폐 색전증은 혈전이 잘 만들어지는 상황에서 잘 발생합니다. 따라서 혈전 생성을 막을 수 있다면 폐 색전증을 예방할 수 있습니다. 병원에 입원했을 때는 침상 생활로 누워만 지내지 말고 걷거나 움직여야 합니다. 움직임은 정맥 혈류가 정체되는 것을 막아 주기 때문입니다. 특히 수술 후에는 가능한 이른 시점부터 걸어 다니는 것이 좋습니다. 병원에 입원했는데, 누워 지내야만 하는 상황이라면 다리를 심장보다 높게 올려놓거나 압박 스타킹을 착용하는 것도 도움이 됩니다.

장시간 비행이나 장시간 차량에 앉아 있는 것 같이 부동자세로 오랜 시간 동안 있어야 하는 상황은 피하는 것이 좋습니다. 어쩔 수 없다면 반드시 중간중간 스트레칭을 하거나 조금이라도 걸어야 합니다.
흡연도 혈액 응고에 영향을 미쳐 혈전증을 잘 발생하게 하므로 금연해야 합니다.
특히 심부 정맥 혈전증이 있는 사람이거나, 폐 색전증을 치료한 적이 있는 사람이라면 항응고 치료를 꾸준히 해야 합니다. 이는 의사의 지도하에 적절히 관리받을 수 있습니다.
이상으로 폐 색전증에 대해 알아보았습니다. 폐 색전증은 일반적으로 흔하지는 않지만 갑작스럽게 나타나서 호흡곤란 같은 증상을 호소합니다. 의사도 폐 색전증을 의심하지 않으면 진단할 수 없을 정도로 발견하기 쉽지 않은 질병입니다. 그렇지만 빠른 진단과 적절한 치료가 이루어진다면 충분히 좋아질 수 있습니다. 폐 색전증에 대해 잘 기억하시고 해당 증상 발생 시 즉시 응급실에 방문하셔야 한다는 것 잊지 마시기 바라겠습니다.