기관지는 우리가 들이마시고 내쉬는 숨의 길입니다. 숨이 대기와 폐 사이를 이동하는 통로가 기관(Trachea), 기관지(Bronchus), 세기관지(Bronchiole) 등입니다. 기관지 전체 모양은 마치 나무를 거꾸로 세워놓은 모양과 같습니다.

출처 : 위키 미디어
기관이 기관지로 분화하면서 여러 분지를 내고 통로가 얇아지고 가늘어지기 때문입니다. 이런 기관지에도 여러 가지 병이 생길 수 있습니다. 기관지 단순 염증이 생기는 기관지염, 기관지 과민성과 염증으로 인해 비정상적인 수축과 이완이 생기는 천식, 결핵균이 기관지에 침투하는 기관지 결핵 등이 그것입니다. 또 기관지가 확장되어 늘어나 있는 기관지확장증이라는 병도 있습니다.
최근 미세먼지가 심해지며 이로 인해 여러 증상을 호소하는 사람이 늘어나고 있습니다. 미세먼지는 폐뿐만 아니라 심장, 뇌 등의 인체 기관에도 나쁜 영향을 끼칩니다. 미세먼지가 몸 전체에 나쁜 영향을 끼친다고 봐도 과언이 아니겠지만, 오늘은 폐에 미치는 병에 대해 알아보겠습니다. 그중에서도 기관지확장증(Bronchiectasis)이라는 병을 알아볼까 합니다. 미세먼지가 기관지확장증에 악영향을 미치기 때문입니다.
기관지확장증(Bronchiectasis)이란?
기관지가 원래 상태로 되돌아갈 수 없을 정도로 확장되어 늘어나 있는 상태를 말합니다. 대개는 기관지 벽의 근육과 탄력 성분이 손상되기 때문에 기관지는 확장됩니다. 이는 정상적인 범위를 벗어나는 수준이면서 영구적인 것을 말합니다.
원인
앞서 정의에서 말했듯 기관지가 확장되는 주된 원인은 기관지 벽이 손상되는 것인데, 여기에는 또 다양한 요인이 있습니다. 염증에 의한 기관지 손상, 기도 폐쇄, 기관지 방어 기전의 파괴, 점액과 같은 기도 분비물 배출 저하 같은 여러 요인이 그것입니다. 여러 요인을 묶어서 생각해보면 크게 감염성 원인과 비감염성 원인으로 그 원인을 나누어 볼 수 있습니다.

출처 : 위키 미디어
감염에 의해 기관지에 염증이 생기고 잘 회복되지 않는다면 영구적인 기관지확장증이 됩니다. 바이러스(아데노바이러스, 흔히 독감이라고 부르는 인플루엔자 바이러스 등), 세균(황색 포도알균, 혐기성 세균, 결핵균 등) 같은 미생물에 의해서 기관지에 감염이 생길 수 있습니다. 전신 면역력이 약해져 있거나 폐의 방어력이 약한 상태에 놓여있을 때는 감염이 잘 발생할 수 있으므로 기관지확장증이 생길 수 있습니다.
기관지 내 발생하는 종양, 기관지 협착, 림프절 비대로 인한 외부에서의 압박, 면역 글로불린의 결핍, 원발성 섬모 이상증, 낭성 섬유화증 같은 상태가 그것입니다. 이런 신체의 문제는 폐의 반복적인 감염을 유발하고 결국에는 기관지확장증이 발생하게 됩니다.
비감염성 원인에 의해서도 기관지확장증이 발생할 수 있습니다. 대표적인 것이 흡입에 의한 기관지 손상입니다. 암모니아 같은 독성가스를 반복적으로 흡입하면 기관지확장증이 발생할 수 있습니다. 미세먼지 같은 손상성 입자도 마찬가지입니다. 아직 명확한 상관관계를 밝힌 연구 결과는 없지만, 전문가들은 최근 미세먼지의 과도한 흡입 또한 기관지확장증을 유발할 수 있을 것으로 보고 있습니다.
역류성 식도염같이 역류하는 산성의 위액이 기도로 흘러가면서 기관지에 손상을 반복해서 주는 경우도 있습니다. 류마티스 관절염이나 쇼그렌 증후군에서 합병증으로 기관지확장증이 잘 발생합니다. 또 흡연은 폐 기능을 악화시키고 폐의 반복적인 감염을 유발할 수 있다는 점에서 기관지확장증의 진행을 가속화 시킨다고 볼 수 있습니다.
기관지확장증의 증상

저작권 : Wavebreak Media Ltd / 123RF 스톡 콘텐츠
기관지확장증의 주된 증상은 반복적인 기침과 화농성의 가래입니다. 또 늘어나 있는 기관지에서 기도 점막이 찢어지고 출혈이 발생하면서 피가 섞인 가래를 뱉어내기도 합니다. 호흡곤란과 흉통을 호소하기도 합니다. 피로감, 체중 감소, 근육통 같은 전신 증상도 발생할 수 있습니다.
검사와 진단
기관지확장증 진단에 있어서 중요한 점은 환자의 병력입니다. 오래전에 백일해, 홍역, 심한 폐렴, 폐결핵을 앓은 적이 있는지를 꼭 확인해야 합니다. 특히 어렸을 때 앓은 이런 질병이 기관지확장증의 주된 선행 원인이 되기 때문입니다.
호흡기계 감염이 반복적으로 나타나는 사람도 반드시 기관지확장증의 가능성을 염두에 두어야 합니다. 또 폐렴 같은 호흡기계 감염을 앓고 난 이후에도 기침이나 가래가 지속한다면 기관지확장증의 가능성을 생각해 봐야 합니다.

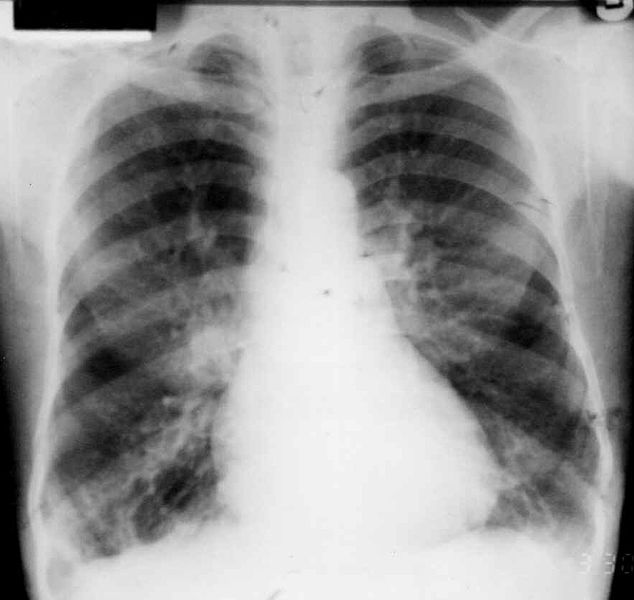
기관지 확장증 가슴 방사선 검사 (출처 : 위키 미디어)
기관지확장증을 확인하기 위한 검사는 여러 가지가 있습니다. 필수적인 검사는 가슴 방사선 검사(엑스레이)입니다. 가슴 방사선 검사는 비특이적입니다. 무슨 말이냐 하면, 가슴 방사선 검사는 기관지확장증을 확인하고 진단하는데 부정확하고 다른 질병과 헷갈릴 수 있다는 것입니다.
경한 기관지확장증이면 심지어 가슴 방사선 검사는 거의 정상 소견으로 보이기도 합니다. 심한 기관지확장증일 때 가슴 방사선 검사를 해보면 기관지확장증을 시사하는 기관지 내부에 낭성 병변이 보이기도 합니다. 그러나 이런 모양은 수포성 폐기종이나 간질성 폐렴에서도 마찬가지로 비슷하게 보일 수 있어 기관지확장증과 종종 헷갈리기도 합니다.
이렇게 부정확한 검사지만 필수적인 이유는 검사하기 간단하면서도 바로 과거의 가슴 방사선 검사와 비교를 할 수 있기 때문입니다. 예전에 찍은 가슴 방사선 검사와 대조해 보면서 변화 추이를 보는 것이 가장 중요하며 변화 양상으로 많은 정보를 알 수 있습니다,
최근 들어 가장 정확하고 진단의 표준 방법으로 사용되고 있는 것은 바로 가슴 전산화 단층촬영(CT)입니다. 특히 고해상도 전산화 단층촬영은 기도 확장 여부를 알 수 있는 가장 정확한 검사 방법입니다. 대개 CT를 확인해서 기관지확장증을 진단할 수 있습니다.
그 밖에 기관지 내시경을 통해 국소 기관지 확장을 확인할 수도 있고, 폐 기능 검사를 통해 기관지확장증의 결과로 발생한 기도 폐쇄를 확인해 볼 수도 있습니다. 피검사, 가래검사 등의 기본 검사를 통해 기관지확장증과 잘 동반되는 질병을 확인해 볼 수도 있습니다.
치료
기관지확장증은 영구적으로 기관지가 확장되어 정상으로 돌아갈 수 없는 상태입니다. 따라서 정상 기관지로 되돌리는 치료보다는 늘어나 있는 기관지가 더는 늘어나지 않도록 잘 관리하는 게 주된 치료의 목표가 됩니다. 즉, 당뇨병, 고혈압, 이상지질혈증처럼 병이 급격하게 나빠지지 않도록 평소에 꾸준히 관리하고 치료하는 것이 핵심입니다.

기관지확장증이 있는 환자에서 기관지나 폐 감염이 발생한다면 항생제 치료는 필수적입니다. 증상과 병의 경과가 더 심할 뿐만 아니라 감염으로 인해 기관지확장증 자체가 나빠지는 것을 막기 위해서입니다. 환자 상태에 따라 먹는 항생제나 주사 항생제를 선택해서 사용할 수 있고 경험적 항생제를 먼저 투여합니다. 이후 동정되는 균의 종류에 따라 적절한 항생제로 바꿔 쓸 수도 있습니다.
기관지확장증 환자에서 기관지와 폐의 점액성 물질이 많아지는 것도 문제입니다. 증가한 분비물이 고여있다면 세균의 번식 장소가 되기도 합니다. 또 분비물 자체가 기도를 막기도 하므로 기관지확장증을 더 심하게 만들 수도 있습니다. 따라서 가래가 많은 기관지확장증 환자라면 가래를 효과적으로 배출할 수 있는 적절한 자세를 취하거나 등을 두드려 주는 진동기를 착용하거나 약물을 사용해 볼 수 있습니다.
반복되는 감염으로 내과적 약물치료를 지속하는데도 불구하고 기관지확장증이 심해서 약물치료에 반응이 없는 경우도 있습니다. 이때에는 기관지 확장 부위의 폐를 일부 절제하는 절제술을 시행해 볼 수 있습니다. 기관지확장증이 광범위한 폐 부분에 걸쳐 있다면 폐 색전술을 시행할 수도 있고 폐 이식 수술도 고려해 볼 수 있습니다.
경과와 합병증
기관지확장증의 경과는 감염이나 다른 합병증이 발생했을 때, 그것을 그때그때 얼마나 잘 조절하고 치료하는지에 달려 있습니다. 만성 기관지염, 폐기종, 폐동맥 고혈압, 폐심장증 등과 같은 질환이 동반되어 있다면 기관지확장증은 더욱 빠르게 진행합니다.
기관지확장증의 합병증 중 가장 대표적인 것은 바로 기관지나 폐의 감염입니다. 기관지가 확장된 곳은 상대적으로 약하기 때문에 균이 침투하기 쉽고 염증이 잘 발생합니다. 이외에 폐 고름집, 기흉, 폐성심 같은 심한 병도 합병증으로 발생할 수 있습니다.
예방과 관리
기관지확장증은 치료도 중요하지만, 평소에 나빠지지 않도록 꾸준하게 관리하고 예방하는 것이 더욱 중요합니다. 평소 충분하고 적절하게 수분을 섭취해야 합니다. 가래를 효과적으로 배출할 수 있어야 하겠습니다. 가래를 잘 배출할 수 있는 적절한 자세를 취하거나 물리적으로 가래를 잘 배출할 수 있게 등을 두드려 준다거나 진동기를 가슴에 착용하는 것 같은 방법도 있습니다.

예방접종은 필수 (저작권 : goodluz / 123RF 스톡 콘텐츠)
또 폐 감염이 잘 발생하기 때문에 손을 깨끗이 씻거나 양치질을 잘하는 것과 같이 개인위생에 신경 써야 하겠습니다. 인플루엔자 예방접종과 폐렴알균 예방접종, 백일해와 홍역 같은 예방접종도 필수적입니다. 금연도 필수적입니다.
이상으로 기관지확장증을 알아보았습니다. 병적으로 늘어난 기관지는 다시 정상으로 되돌아가기 어렵기에 기관지확장증이 생기지 않도록 관리하는 것이 중요하겠습니다. 따라서 폐나 기관지에 급성 감염이 발생했을 때는 기관지확장증으로 넘어가지 않도록 빠르고 적절한 치료를 받아야 합니다.
또한 기관지확장증이 있는 분이라면 자기 자신도 꾸준하고 적절하게 관리를 해야 합니다. 특히 최근 심해지는 미세먼지에 대비를 철저히 해야 합니다. 마스크를 잘 착용하거나, 심한 미세먼지 경보에는 외출을 자제하고, 물을 충분히 마셔야 합니다.

저작권 : leungchopan / 123RF 스톡 콘텐츠
기관지확장증이 있는 분이라면 반드시 병원에 방문해주기를 바랍니다. 주기적인 진료를 통해 기관지확장증을 꾸준히 치료 및 관리받으면서 건강 유지하시기 바라겠습니다.