신체에서 가장 큰 장기가 무엇인지 아시나요? 바로 간(Liver)입니다. 간(Liver)은 약 3천억 개가 넘는 간세포(Hepatocyte)로 이루어져 있고, 무게만 해도 성인 기준으로 약 1.2 ~ 1.8 kg입니다. 오른쪽 횡격막 아래에 자리 잡고 있고, 갈비뼈가 보호하고 있어 정상인에서는 만져지지 않습니다.

출처 : 위키미디어
간은 여러 질병에 의해 붓거나 커지거나 딱딱해질 수 있는데 오늘은 간이 딱딱해지는 질병에 대해 알아보려고 합니다. 바로 간경화증입니다. 간경화증(肝硬化症)은 한자 풀이 그대로 간이 딱딱해지는 병인데, 간이 딱딱해지면 자기 기능을 못 하므로 여러 증상이 생깁니다.
간경변증(肝硬變症)이라는 단어도 한자를 보면 간이 딱딱해진다는 뜻이므로 간경화증과 간경변증은 같은 말입니다. 여기에서는 간경변증(肝硬變症, Liver cirrhosis)으로 용어를 통일해서 말씀드리겠습니다.
간경변증(肝硬變症, Liver cirrhosis)이란?
간경변증이란 오랫동안 지속하는 간염 때문에 간세포(Hepatocyte)가 파괴되어 재생결절(Degenerative nodules)과 간 내 섬유화(Fibrosis)가 생기고 이에 따라 간의 기능이 저하하는 병을 말합니다. 즉, 오랜 간 손상으로 정상 간이 다른 조직으로 바뀌면서 간이 딱딱해지고 그 능력이 떨어진 상태입니다.

출처 : 위키미디어
간의 능력이 떨어지다 보니 그에 의한 합병증도 같이 발생합니다. 간경변증은 대상성 간경변증(Compensated liver cirrhosis)과 비대상성 간경변증(Decompensated liver cirrhosis)으로 구분하는데, 비대상성 간경변증은 중증으로 사망률이 매우 높습니다.
간경변증(Liver cirrhosis)의 원인
간경변증의 주된 원인은 만성적인 간 손상입니다. 그렇다면 만성적인 간 손상의 원인은 무엇일까요? 바로 간염 바이러스, 술, 간 손상을 유발하는 물질 복용이 대표적입니다. 특히 우리나라는 바이러스에 의한 간염 때문에 간경변증이 발생하는 경우가 많습니다.

C형 간염바이러스 (저작권 : bluebay/123RF 스톡 콘텐츠)
우리나라 간경변증의 70~80%가 B형 간염 바이러스에 의한 만성 B형 간염, 10~15%가 C형 간염 바이러스에 의한 만성 C형 간염 때문입니다. 나머지는 술에 의한 만성 알코올성 간염 등입니다.
간경변증(Liver cirrhosis)의 증상
간은 여러 가지 일을 합니다. 단백질 합성, 포도당 대사 및 각종 물질대사 작용, 해독작용, 면역작용 등입니다. 간경변증이 생기면 간은 원래 하던 일을 못 하기 때문에 여러 문제가 생기며 증상이 발생합니다.

전신쇠약, 만성피로, 식욕부진, 소화불량, 복부 불편감 등의 증상이 발생합니다, 얼굴 피부가 검어지고 가슴, 등, 어깨 같은 곳에 모세혈관이 거미 모양으로 확장하는 징후를 보입니다. 남성은 유방이 커지거나 고환이 작아질 수 있고, 여성은 생리가 불규칙해지기도 합니다. 간경변증 자체에 의한 증상 이외에도, 합병증에 의한 증상이 발생할 수 있습니다. (뒤에 합병증 부분에서 말씀드리겠습니다.)
간경변증(Liver cirrhosis)의 검사와 진단
간경변증이 잘 발생할 수 있는 원인이 있는 사람에게서 (B형간염, C형간염, 만성 음주자 등) 간 문맥압 항진증(Portal hypertension)의 징후가 있으면 진단할 수 있습니다. 복수, 다리 부종, 비장비대, 식도정맥류 등의 징후를 발견하면 간 문맥압 항진증을 강력히 의심할 수 있습니다. 간경변증의 확진은 간 조직 검사를 통해 간 조직을 보는 것이지만, 일반적으로 간경변증을 진단하기 위해서 조직 검사를 시행하지는 않습니다.

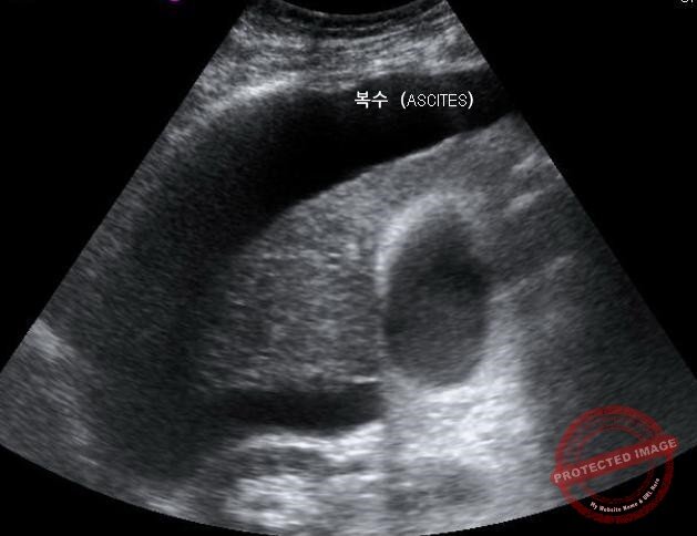
복수가 찬 간경변 환자의 간 초음파 이미지 (출처 : 위키미디어)
문진(바이러스 간염, 음주 여부, 간 손상을 유발하는 물질 사용 등)과 신체 진찰(복수, 다리 부종 등)은 기본이며 혈액검사, 복부초음파검사, 복부 전산화단층촬영(CT) 등의 영상 검사를 합니다. 또한 상부 위장관 내시경 검사도 합니다.
혈액검사로 간 기능과 간암 혈액 표지자(알파태아단백, α-fetoprotein)를 확인합니다. 복부 초음파와 전산화단층촬영(CT)으로 간 모양 변화, 복수 여부, 비장비대 등의 이상 소견을 확인하며 특히 간암 동반 여부를 꼭 확인합니다. 상부 위장관 내시경을 통해 식도정맥류의 동반 여부도 확인합니다.
간경변증(Liver cirrhosis)의 치료
간경변증의 치료 목표는 간경변증이 더 나빠지지 않도록 막는 것입니다. 간경변증이 생긴 간을 정상으로 되돌리기는 매우 어렵습니다. 간경변증은 한번 발생하면 시간이 갈수록 나빠지기 때문입니다.
B형 간염이나 C형 간염 등에 의해 간경변증이 생겼다면, 항바이러스제를 사용하여 바이러스 간염의 활성 정도를 조절해야 하며, 만성 알코올성 간염이 간경변증의 원인이라면 금주해야 합니다. 이 외에도 다른 원인에 의해 간경변증이 생겼다면 그 원인을 치료해야 합니다.
합병증과 치료
간경변증은 그 자체도 문제지만, 이로 인해 발생하는 합병증이 더 큰 문제입니다. 합병증이 생겼다면 생존율이 감소하기 때문입니다. 간경변증 환자에서 간경변증 자체를 치료하기보다는 합병증을 치료하는 경우가 더 많은데, 보통 간경변증에 의한 합병증이 동반된 경우가 많기 때문입니다.

간경변 합병증, 복수 (출처 : 위키미디어)
합병증은 여러 가지입니다. 복수가 생기고, 피를 토하거나 검은색 대변을 볼 수 있습니다. 정신이 혼미해지는 간성 혼수가 생길 수 있고, 복막염 등의 염증과 감염이 쉽게 생깁니다. 복수를 제거하거나 조절하기 위해서는 이뇨제를 사용하거나 직접 배액 하기도 합니다. 피를 토하거나 검은색 대변을 본다면 약물요법이나 상부 위장관 내시경을 통해 식도 정맥류 치료(결찰술, 경화 요법)를 합니다. 간성혼수는 규칙적으로 대변을 보게 하고 저 단백식을 먹는 것이 치료입니다.
간경변증의 합병증으로 가장 무서운 것은 바로 간암(Liver cancer)과 간부전(Liver failure)입니다. 간경변증 환자는 간암 발생 위험도가 매우 높고, 결국에는 간부전에 빠질 가능성이 높습니다. 간부전이란 결국 간의 기능이 완전히 없어지는 것을 말하는데 간이 제 기능을 하지 않으면 결국 사망하게 됩니다.
예방과 관리
간경변증은 예방과 관리가 매우 중요합니다. 만성 간염이 없는 분이라면, B형 간염 예방접종을 하고 C형 간염 바이러스에 감염되지 않도록 주의해야 합니다. 과도한 음주는 지양해야 합니다.

저작권 : 123RF 스톡 콘텐츠 / Med Photo Studio
만약 만성 간염이 있는 분이라면 만성 간염이 간경변증으로 넘어가지 않도록 예방 ∙ 관리해야 합니다. 만성 간염이 간경변증으로 진행할 확률이 높기 때문입니다. 이를 위해서 정기적인 진료와 검사는 필수입니다. 만성 바이러스 간염이 있다면 항바이러스제 등의 치료를 꾸준히 해야 하고, 만성 알코올성 간염이라면 반드시 금주해야 합니다.
간경변증이 생겼다면 관리를 잘해야 합니다. 관리하는 방법은 많은데, 가장 중요한 것은 꾸준히 진료받는 것입니다. 합병증이 어느 정도 수준인지에 따라 관리법이 조금씩 달라지므로, 정기적인 진료를 통해 개개인에게 맞는 적절한 관리법을 소화기 내과 의사와 상담하는 것이 가장 좋습니다.
앞서 말했듯이, 간경변증 환자는 간암 발생 위험이 매우 높기 때문에, 적어도 1년에 2번 정기검사받으며 간암을 조기에 발견해서 완치 가능성을 높여야 합니다.
이상으로 간경변증(Liver cirrhosis)에 대해 알아보았습니다.
한번 발생하면 정상 간으로 되돌리기 매우 어려운 간경변증은 합병증이 많이 발생하므로 관리와 치료가 어렵습니다. 특히 비대상성 간경변증의 경우 사망률이 높으므로 반드시 꾸준하게 진료받아야 합니다. 실제로 간경변증에 의한 합병증 발생으로 병원에 입 ∙ 퇴원을 반복하는 분이 굉장히 많습니다. 간경변증의 발생을 잘 예방하거나 간경변증에 의한 합병증 관리를 잘해서, 고생하는 분이 줄어들기를 바라봅니다.