우리 부모님이 치매라고요?
[dropcap]위[/dropcap]의 말은 필자가 병원에 방문하시는 어르신들을 진료한 뒤 보호자분들에게 문진 및 여러 검사 결과 부모님이 치매로 진단되셨다고 알려드렸을 때 보호자들이 제게 이야기하시는 가장 흔한 말 중 하나입니다. 대부분의 자녀분들은 자신의 부모가 치매라는 말을 듣게 되면 우리 부모님은 치매일리 없다, 검사가 잘못 되었다와 같은 반응을 보이시곤 합니다.
자녀들이 치매라는 단어에 대해 거부감을 가지게 되는 것은 당연한 일일지도 모릅니다. TV 뉴스에서 자주 등장하는 실종 노인이라던가 자신의 자식들도 못 알아보는 정도의 심한 증상을 가진 사람들만이 치매 환자라고 생각하기 쉽습니다. 하지만 이러한 예는 중증의 치매 환자의 이야기이고 초기 치매 환자들은 일견 보기에는 정상으로 보이기가 쉽습니다.

치매 환자들이 보이는 주된 증상 중 하나는 단기 기억력의 감소인데 보호자분들은 간혹 부모님을 만났을 때 과거의 이야기를 잘 하시는 부모님을 보고서는 아무런 문제가 없는 것 같은데 간혹 깜빡하시는 것 같다는 느낌을 받곤 합니다. 하지만 이러한 기억력 장애는 정상이 아닐 수 있습니다. 치매 환자들은 대부분 과거 기억을 중증 단계에까지 유지하고는 합니다.
치매의 진단과 치료가 늦어진다면 단기 기억력의 문제만을 가진 경도의 치매 환자가 중증 치매 환자로 될 수도 있습니다. 진료실에서 간혹 우리 부모님은 치매가 아니니 약을 드리지 않겠다고 하는 보호자분들이 계십니다. 물론 약물 치료의 부작용에 대한 걱정과 함께 치매도 아닌데(본인 생각에) 왜 약을 먹냐는 생각을 가지고 있기 때문에 그렇게 반응하실 수도 있습니다. 그렇기 때문에 이번에는 보호자들이 부모님의 치매와 관련되어(특히 알츠하이머 치매) 반드시 알아야 할 몇 가지 사실들에 대해 정리해 보았습니다.
1. 치매는 정상 노화 과정이 아닙니다.
본인이 무엇인가를 했던 것이 생각이 안 나거나, 해야 할 일이 생각이 안 나는 것과 같은 기억력 문제는 누구에게나 발생할 수 있습니다. 젊은 사람들 중에서도 기억력이 요즘 안 좋아진 것 같다고 말하는 사람들이 많이 있습니다. 그렇기 때문에 우리 부모님이 요즘 많이 깜빡깜빡하시는 것 같다고 말하면서 이건 나이가 들면 자연적으로 그러한 것이기 때문에 정상적인 것이라고 생각하실 수 있습니다.

저작권 : Andreus / 123RF 스톡 콘텐츠
하지만 이러한 기억력 저하 및 인지 기능 저하가 치매 진단 기준에 합당할 정도로 심해진 경우 간과해서는 안됩니다. 특히 계산이라던가 특정 상황에 대한 판단이 되지 않는 경우, 계획을 잘 세우지 못하는 경우와 같이 기억력 이외의 인지 문제들이 나타나는 경우 치매를 반드시 의심해봐야 합니다.
특히, 경도인지 장애(Mild cognitive impairment)의 경우 드러나는 증상이 미미할 수 있기 때문에 지나치기 쉽습니다. 경도인지 장애로 진단된 경우, 70%의 환자들은 결국은 치매로 진행하게 됩니다. 그렇기 때문에 경도인지 장애로 진단된 시점으로부터 주기적인 관찰과 필요한 경우 약물치료가 동반되어야만 합니다.

치매 진단을 위한 가장 쉽고도 정확한 검사 중 하나는 간이 정신 상태 검사(MMSE, Mini-Mental state examination)입니다. 검사의 첫 문항은 오늘이 몇 월 며칠이라는 것입니다. 필자도 치매 진단을 위한 간이 정신 상태 검사 외에도 다른 질병으로 병원을 찾아오는 어르신이 계시면(특히 보호자가 모시고 오는) 오늘이 몇 월 며칠인지 꼭 물어봅니다. 이는 월을 모르시거나 연도를 모르시는 분이라면 확실히 인지가 떨어진 것을 알 수 있기 때문입니다. 계절도 모르시면 더욱더 진단에 가까워지게 됩니다. 연도 계절도 모르시는 80세 부모님의 인지가 이 나이에서는 정상이라고 우기는 보호자들도 간혹 계시고 화를 내는 경우도 계신데 이럴 때 의사로서 참으로 답답합니다.
정상적인 노화과정과는 달리 치매에서는 정서, 지적 활동, 사회적 활동과 관련된 분야에서의 이상이 발생하게 됩니다. 그로 인해 일상생활 동작 수행(먹고, 옷 입고, 씻고, 이동하고, 용변을 보는)에 장애 또한 발생하게 되는 것입니다. 뒤에서 알아보겠지만 치매의 여러 종류 중 가장 흔한 알츠하이머 치매는 정상적 두뇌 노화과정이 아닌 뇌 손상에 의한 여러 인지 기능의 장애가 나타나는 것을 의미합니다. 알츠하이머 치매를 비롯한 여러 종류의 치매가 정상적인 노화과정 때문이 아니라는 점을 반드시 기억하시기 바랍니다.
2. 치매는 치료 방법이 없다?
부모님이 치매라는 이야기를 들은 보호자분들이 이를 인정하지 않으려는 데에는 아마 치매는 치료가 되지 않는다고 알려진 상식 때문 일지도 모르겠습니다. 하지만 저 말은 반 정도는 맞고 반은 틀리는 말입니다.

알츠하이머 환자의 뇌 (출처 : 위키미디어)
치매도 치료가 될 수 있습니다. 앞서 말씀드린 것처럼 치매에는 여러 종류가 있습니다. 가장 흔한 것이 전체 치매의 50~70%를 차지하는 알츠하이머 치매이고 그다음으로 흔한 것은 뇌경색과 같이 뇌혈관에 문제가 발생하여 이차적으로 생기는 혈관성 치매입니다. 혈관성 치매는 전체 치매의 20% 정도를 차지하고 있습니다. 또 다른 흔한 치매의 원인은 루이체 치매(Lewy bodies dementia)입니다. 루이체 치매는 환시와 파킨슨병의 증상이 나타나는 것이 특징입니다.
이러한 종류의 치매들은 진단되고 난 후 원래 상태대로 되돌아가는 수준의 치료가 되지 않습니다. 치매 치료제는 더 이상의 인지 기능 저하를 막기 위한 수준의 치료입니다. 하지만 알츠하이머 치매와 혈관성 치매 이외에도 다양한 원인에 의해 치매가 발생할 수 있습니다. 특정 질병에 의해서 유발되는 치매의 경우 원인 질환의 치료가 선행될 경우 증상이 호전되는 경우가 많습니다.
치료가 가능한 치매 중 대표적인 것은 수두증입니다. 수두증은 뇌의 가운데 차있는 뇌척수액이 증가하여 뇌 안의 압력이 증가하는 병입니다. 이로 인해 여러 가지 증상이 나타나는데 인지저하, 보행장애, 요실금 증상이 나타나게 됩니다. 뇌실을 복강 내로 연결하는 수술(V-P shunt)로 뇌압을 낮춰주면 증상이 호전됩니다. 바로 치료가 가능한 치매라는 것입니다.

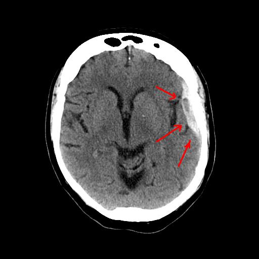
경막하 혈종의 CT 이미지 (출처 : 위키미디어)
또 다른 치매 증상을 보이는 질병에는 만성 경막하 혈종이 있습니다. 외상 등에 의해 뇌를 둘러싸고 있는 막중 하나인 경막에 서서히 피가 차게 되어 뇌를 압박하여 마치 치매 증상이 나타나듯이 서서히 인지장애나 신경학적 이상 등이 나타나게 되는 것입니다. 만성 음주자이신 분들(자신도 기억 못하는 머리 손상이 많이 발생하기 때문)이 갑자기 치매 증상을 보이는 경우가 바로 만성 경막하 혈종에 의한 치매 증상인 것입니다. 이 또한 수술을 통해 경막 아래에 찬 혈액을 제거해 주면 인지장애나 신경학적 이상 등이 호전될 수 있습니다.
또 다른 질병으로는 우울증이 있습니다. 우울증 환자 중 특히 노인 환자들은 인지 기능의 저하를 보이는 경우가 많이 있습니다. 우울증의 경우 실제 인지 기능이 떨어져서라기보다는 우울증상의 하나로 치매 유사 증상이 나타나기 때문에 “가성치매“라고도 부릅니다. 위의 치매들과 다른 점은 인지 기능 저하보다 기분의 저하가 먼저 나타난다는 점입니다. 마찬가지로 항우울제 등으로 우울증의 치료가 이뤄지는 경우 인지 기능이 다시 돌아오게 됩니다.

약물 또한 치매 증상을 유발할 수 있습니다. 노인들의 경우 퇴행성 질환과 생활 습관병을 가질 확률이 증가하기 때문에 복용하는 약물이 증가하게 됩니다. 최근 조사된 바에 의하면 노인의 평균 복용 약물은 6개라고 합니다. 여러 약물의 상호작용 또는 일부 고혈압 약제, 배뇨 장애로 복용하는 항콜린제 등의 부작용으로 치매 증상이 나타날 수 있습니다. 이 경우에도 약물의 중단시 치매 증상은 호전될 수 있습니다.
마지막으로 갑상선 기능 저하증과 같은 내분비질환, 뇌종양, 비타민 B12나 엽산 결핍에서도 치매 증상이 발생하게 되고 관련 질병의 치료시 치매 증상은 호전됩니다.
이러한 이유로 알츠하이머 치매는 위의 여러 가지 유발 가능한 원인들을 모두 제외한 뒤 진단이 내려지게 되는 것입니다. 간혹 MRI도 안 찍고 치매 진단을 어떻게 하냐고 하시는 분들도 계십니다. 물론 MRI로 다른 질병이 없나 확인하는 것 또한 중요합니다. 하지만 모든 치매 환자(특히 알츠하이머 치매)의 진단을 위해 고비용의 MRI를 할 필요는 없습니다. 여러 종류의 신경 상태 검사 및 문진으로도 치매 진단은 가능한 것이며, 의사의 판단하에 MRI를 찍어야 할 필요가 있는 경우에 검사를 시행하는 것입니다. 원인 질병의 선별을 위해 각종 혈액검사나 MRI 검사가 시행되는 것이지 알츠하이머 치매를 MRI로 진단할 수는 없는 것입니다.
3. 치료가 안되는데 왜 약을 복용해야 하나?
앞서 지속적으로 말씀드린 것처럼 일부 치료 가능한 원인의 치매를 제외한 알츠하이머 치매와 혈관성 치매의 경우 현재까지 나와 있는 약물은 모두 완전한 치료가 아닌 현 상태의 유지 정도의 용도로 사용되고 있습니다. 약물 치료 외에도 인지치료, 행동치료, 정신 치료 등이 있지만 약물치료와 보조적으로 사용 가능한 것이지 큰 효과를 기대하기 어렵습니다.
치료가 되지 않는 질병에 왜 약을 먹어야 하나요?

치매는 대뇌 피질 세포의 파괴(알츠하이머병) 또는 뇌에 영향을 주는 질환으로 발생하게 됩니다. 약물치료로 파괴된 뇌세포를 되돌릴 수 없음은 아마 어렵지 않게 유추해 볼 수 있을 것입니다. 우선 치매 약물의 작용 원리에 대해서 간단히 설명을 드리겠습니다.
치매 치료에 가장 많이 사용되는 아세틸콜린 분해 효소 억제제(acetylcholinesterase inhibitor)는 도네페질(donepezil)이라는 성분 명의 약이 대표적입니다. 특히 알츠하이머 치매의 경우 대뇌의 신경전달 물질의 변화가 일어나게 되는데 그중 아세틸콜린이라는 인지 기능과 연관된 성분의 감소가 일어나게 됩니다. 아세틸콜린 분해 효소 억제제는 아세틸콜린이 분해되는 것을 억제하여 대뇌 아세틸콜린의 농도를 높게 만들어 주게 됩니다. 그렇기 때문에 인지 기능의 저하를 막아주게 되는 것입니다.
그 밖에 메만틴(memantine) 성분의 약제는 중증 치매에 주로 사용됩니다. 아세틸콜린 분해 효소 억제제 보다 효과가 더 좋지는 않지만 아세틸콜린 분해 효소 억제제가 중증 치매의 치료 효과가 좋지 않기 때문에 주로 사용됩니다. 이러한 치매 약제는 인지 기능 저하 억제 기능 외에도 다른 역할을 하게 됩니다. 치매 환자는 필연적으로 점차 증상이 심하게 진행되는데 약물의 투여로 증상 진행의 속도를 늦출 수 있습니다.

치매의 행동심리증상(Behavioral and Psychological Symptoms in Dementia)은 중등도 이상의 치매 환자에게서 잘 나타나는 증상 중 하나입니다. 공격 성향, 정서적 불안, 무감각, 수면 패턴의 변화, 충동적 행동, 기분 변화와 같은 증상부터 망상과 환각까지 다양한 증상이 바로 그것입니다. 이러한 치매 관련 행동심리증상 또한 치매 약물 치료로 어느 정도의 호전을 가져오게 됩니다. 물론 심한 경우 항정신병 약물이나 항 우울제 등이 투약되는 경우 또한 있습니다.
치매의 행동심리증상이 중요한 이유는 바로 가족입니다. 그동안 수십 년간 함께 해왔던 부모님이 갑자기 다른 사람이 되어서 간혹 자녀에게 공격적으로 대하거나 이해되지 않는 행동을 보이고 갑자기 어린아이가 된 것처럼 행동하게 되면 가족관계에 있어서도 균열이 일어날 수가 있습니다. 긴병에 효자 없다는 말처럼 가족들은 병의 증상 때문에 나타나는 행동인지 알면서도 상처받게 되고 견딜 수 없게 되고 마는 것입니다. 치매 치료제는 이러한 행동 증상을 완전하게 억제할 수는 없지만 어느 정도 호전시켜 줍니다. 이는 병의 후기까지 가족들과의 관계를 유지하는데 큰 역할을 하게 되고 환자와 가족들의 삶의 질을 높여주게 됩니다.
마지막으로 치매 환자에게 있어 중요한 요소 중 하나는 일상생활 동작 수행(ADL, activity of daily living)입니다. 그야말로 먹고, 자고, 입는 살아가는 데 있어 가장 기본이 되는 행위들을 일상생활 동작 수행이라고 합니다. 치매환자들은 병이 진행될수록 일상생활 동작수행을 하는데 어려움을 겪게 되고 결국은 누군가의 도움 없이는 아무것도 할 수 없게 되고 병원이나 시설 등에 입원하게 되는 것입니다.

치매 치료제는 이러한 일상생활 동작 수행 능력이 떨어지는 속도 또한 늦춰주는 역할을 합니다. 일상생활 동작 수행이 떨어지면 환자의 심리적 자신감이 떨어질 뿐만 아니라 행동의 제약으로 인해 질병이 더욱 악화되는 악순환을 겪게 됩니다. 보호자들은 치매 환자의 생활을 도와주기 위해 자신의 생활의 일부를 포기해야 하거나 병원이나 시설에 입원시켜 금전적인 지출도 커지게 됩니다. 그렇기 때문에 일상생활 동작 수행의 저하 속도를 막아주는 치매 치료제를 복용하는 것은 개인뿐만 아니라 사회적으로도 커다란 지출을 막아주는 역할을 하게 될 것입니다.
결론
이외에도 치매에 대해서 더 말씀드리고 싶은 내용이 많이 있지만 잊지 말아야 할 가장 중요한 세 가지 점 정도를 말씀드리는 것으로 마무리 짓고자 합니다.
국내 치매환자 수는 2015년 기준 65만여 명에 이르고 있습니다. 2020년에는 85만 명이 될 것으로 예측되고 있습니다. 진단되지 않거나 약을 복용하지 않으시는 분들까지 합하면 아마 이때쯤 되면 거의 백만 명에 이를 것입니다. 또한 치매 환자의 진료비는 매년 20%씩 증가하고 있습니다. 노인의 비율은 점점 증가하고 치매 환자의 비율은 점점 늘고 있기 때문에 이로 인한 사회적 지출 또한 무시할 수 없을 것입니다.

가족들의 치매 환자에 대한 관심과 지지 또한 중요합니다. 환자들에게 가족들이 보내는 따뜻한 말 한마디와 행동은 그 무엇보다도 중요합니다. 노인이 되어 퇴행성 관절염이 오는 것을 부끄럽게 여기는 사람은 없습니다. 치매 또한 마찬가지입니다. 대표적인 신경계 퇴행성 질환인 치매를 부끄러워할 필요는 없습니다. 관절염 환자가 약을 먹거나 수술을 받는 것이 늦춰질수록 고통받는 것처럼, 치매 환자들의 보호자분들도 빨리 부모님의 인지 상태를 확인하고 치매가 의심되는 경우 병원에 방문하셔서 진단 및 치료를 받으셔야 할 것입니다.
치매는 가족 모두가 고통받는 병입니다. 그리고 또한 부끄러워할 필요 또한 없습니다. 고혈압, 당뇨, 관절염을 부끄러워하는 사람은 별로 없습니다. 치매에 대한 인식이 개선되고 적절한 치료가 유지되어 더 많은 환자와 가족들이 좀 더 행복해지기를 기원하며 글을 마치겠습니다.