Home 건강/의학정보메디컬 리뷰참을 수 없는 복통으로 병원에 갔더니 내 몸속에 돌 주머니가?

참을 수 없는 복통으로 병원에 갔더니 내 몸속에 돌 주머니가?

by 닥터밍칸
A+A-
리셋

[dropcap]담[/dropcap]낭(Gallbladder)은 간의 우측 뒤쪽에 위치하고 있는 장기로 담즙(Bile)을 농축하고 저장하는 기능을 합니다. 담낭은 다른 말로는 쓸개라고 합니다. 길이는 약 7~10cm 정도이며 용적은 약 40~70mL입니다.

담즙은 간에서 만들어져 담낭에서 약 6~10배 정도 농축되어 저장됩니다. 식사를 하면 담관을 통해 십이지장으로 약 30분 내 방출되어 음식물이 소화될 수 있게 도와줍니다. 담즙은 주로 지방의 소화를 돕습니다.

담낭에는 담석(Gallstone)이 잘 발생합니다. 담즙을 농축하는 과정에서 딱딱해지는 돌이 잘 생기게 되며 배출구가 한쪽으로만 나있는 맹낭이기 때문입니다. 담석이 증상을 일으키지 않는 경우도 있지만 담낭벽을 자극하거나 담낭관을 막으면서 담낭에 염증을 일으키기도 합니다.

담낭에서 나온 담석(출처 : 위키미디어)

담낭에 생길 수 있는 병은 다양합니다. 그중에서 급성 담낭염(쓸개염)을 알아보겠습니다.

※대표 사진 출처 : andreypopov / 123RF 스톡 콘텐츠

 

급성 담낭염(급성 쓸개염, Acute Cholecystitis)의 원인은?

담석에 의한 담낭염 (저작권 : masia8 / 123RF 스톡 콘텐츠)

다양한 원인에 의해 급성으로 담낭에 염증이 생기는 것을 말합니다. 가장 흔한 원인(90~95%)은 담석(쓸개돌, Gallstone)에 의해서 담낭관(Cystic duct)이 막히는 것입니다. 담낭관이 막히면 담즙이 배출되지 못하고 담낭 안에서 고여 있게 됩니다. 담낭벽이 염증이 생기게 되고 고여 있는 담즙에 균이 이차적으로 자라면서 염증이 발생합니다.

두 번째 흔한 원인은 대장균, 포도상구균, 연쇄구균 등과 같은 균에 의해 담낭이 직접 감염되는 것입니다. 그 밖의 원인은 외상(Trauma), 종양, 협착, 기생충 감염, 선천성기형 등이 있습니다. 또한 담낭염의 원인이 명확하지 않은 경우도 있습니다.

 

증상

전형적으로 담도산통(Biliary colic)을 호소합니다. 산통(Colic)이란 내강이 있는 장기 벽이 비정상적으로 움직여서 통증이 발생하는 것입니다. 대개는 수분 ~ 수시간의 간격을 두고 주기적으로 반복됩니다. 쉽게 말하면 파이프처럼 관(管)이 있는 장기가 경련을 일으키는 것인데, 대표적인 것으로는 위산통(위경련에 의한 통증)이 있습니다. 담도산통은 오른쪽 윗배에 발생하며 명치끝 쪽으로 옮겨 가기도 합니다. 점차 강도가 심해지며 보통 6시간 이상 지속됩니다.

이외에 미열 (심할 때는 고열), 구역감, 구토가 발생할 수 있습니다. 그 외에 식욕부진, 황달 등의 증상도 동반될 수 있습니다.

 

진단 및 검사

급성 담낭염에 합당한 증상인 산통발열이 있으면서 백혈구 증가가 동반되고 머피 징후(Murphy’s sign)가 있으면 진단할 수 있습니다. 머피 징후(Murphy’s sign)란 오른쪽 윗배의 갈비뼈 아래 경계 부위를 가볍게 누른 상태에서 숨을 깊게 들이 마시면 통증이 유발되어 숨을 더 이상 들이 마실 수가 없게 되는 것을 확인하는 신체진찰입니다.

검사는 크게 혈액검사와 영상의학검사로 나뉩니다.

혈액검사에서는 백혈구 증가증, 빌리루빈 상승, 간 수치 이상 등을 확인할 수 있습니다.

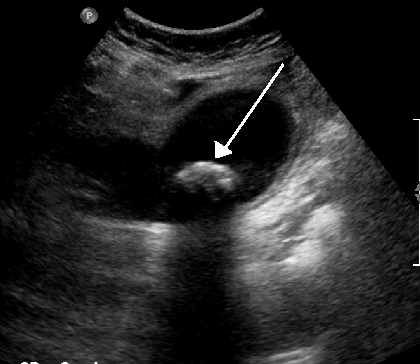
blank

복부초음파에서 발견된 담석 (출처 : 위키미디어)

영상 의학 검사는 복부초음파, 방사성 동위원소 스캔, 복부 전산화 단층 촬영(CT), 복부 자기공명 영상(MRI), 초음파 내시경 등이 있습니다. 영상의학검사로 염증으로 인해 담낭이 부어 있고 주위 장기가 영향을 받아 있는 것을 확인할 수 있습니다. 또한 담낭염을 일으키는 대부분의 원인인 담석을 발견할 수도 있다는 장점이 있습니다.

 

치료

치료는 내과적 치료와 외과적 치료가 있습니다.

1) 내과적 치료

blank

내과적 치료로 전체 환자의 약 75% 정도가 호전됩니다. 내과적 치료로는 금식, 수액치료, 항생제 투여, 피부 간 경유 쓸개배액술 등이 있습니다. 염증이 있는 담낭이 일을 하게 되어 움직이면 염증이 쉽게 낫지 않습니다. 따라서 금식을 통해 담낭을 쉬게 합니다. 항생제와 수액치료로 염증을 가라앉히고 균을 죽입니다. 심한 경우라면 수술 전 처치로 쓸개즙을 피부 밖으로 배액하는 피부 간 경유 쓸개배액술을 시행할 수 있습니다.

2) 외과적 치료

내과적 치료에도 불구하고 약 25% 정도는 1년 내에 재발할 수 있고 약 60%는 6년 내에 재발할 수 있습니다. 수술로서 염증이 있는 담낭을 제거하는 외과적 치료가 도움이 되므로 담낭 절제술(Cholecystectomy)을 시행하기도 합니다. 최근에는 복강경을 통한 담낭 절제술을 많이 시행합니다.
수술은 보통 내과적 치료 후에 시행합니다. 급성 담낭염 초기에는 염증이 심해 수술적 절제가 쉽지 않고 염증이 심한 상태에서 수술을 하면 이후에 합병증이 심하기 때문입니다. 내과적 치료로 염증을 가라앉히는 것이 우선이며 이후에 수술을 고려합니다.

일반적으로 수술은 다음과 같은 경우에 의사의 판단하에 시행합니다. 급성 담낭염이 처음이지만 재발할 것이 강하게 예측되는 경우, 급성 담낭염이 두 번째 생긴 경우, 조기에 수술적 치료를 원하는 경우 등입니다.

 

합병증과 경과

담낭에 가스를 만드는 균에 의해 발생하는 기종성 담낭염, 고름이 생기는 담낭 농양, 누공, 천공, 담석성 장폐색 등의 합병증이 발생할 수 있습니다.

담낭 절제술 후에는 일시적으로 소화불량, 복부불편감 등의 증상이 발생할 수 있습니다. 담즙을 저장하는 담낭이 없으므로 특히 지방의 소화가 잘 안되기 때문입니다. 그러나 담즙 자체는 간에서 만들어지고 일정 기간 시간이 지나면 점차 몸이 적응하므로 일상생활에는 거의 지장이 없게 됩니다.

 

담낭염의 예방법은?

급성 담낭염의 가장 흔한 원인은 담석에 의한 것인데 최근에는 서구화된 식생활로 인해 지방 섭취가 증가하면서 담석 발생률이 증가하고 있습니다. 따라서 담석 발생을 줄일 수 있는 생활습관을 가지는 것이 도움이 될 수 있습니다. 가능하면 저지방 식사를 하며 특히 동물성 지방은 피합니다. 자극이 될 수 있는 음주, 커피, 케이크 등의 음식은 피하며 과식은 좋지 않습니다. 영양소를 골고루 충분히 섭취하는 것도 중요합니다. 비만하다면 체중조절을 위한 노력을 해야 합니다.

blank

기름진 음식을 피하는 것이 좋습니다

이상으로 급성 담낭염에 대해 알아보았습니다. 급성 담낭염은 심한 우상복부 통증, 발열 등의 증상으로 병원을 찾게 됩니다. 보통 잘 치료받게 되지만 늦게 병원에 방문하여 치료가 늦어지는 경우에는 패혈증으로 이어질 수도 있습니다.

주된 원인인 담석이 급성 담낭염을 일으키기 이전에 소화불량, 복부 불편감, 복부 팽만감 등의 증상을 일으킬 수도 있습니다. 따라서 이런 증상이 있는 경우에는 혹시 담석 때문인지 확인하기 위해 병원에 방문하시기를 부탁드립니다. 만일 본인이 담석이 있다고 알고 있는 상태라면, 심한 통증이 발생했을 때 급성 담낭염을 의심해서 조기에 병원에 방문하고 적절한 치료를 받을 수 있기 때문입니다.