간은 몸이 흡수한 여러 물질을 대사하고 저장하는 장기입니다. 술(알코올)도 예외는 아니며 우리 몸에 들어온 술은 간에서 대사 되고 처리됩니다. 지난번에 술이 우리 몸에 미치는 영향에 대해서 알아보았습니다. 이번에는 술로 인해 발생하는 간 질환에 대해서 알아보도록 하겠습니다.
두 얼굴의 음료 술 – 알코올이 심신에 미치는 영향은?

간이 처리할 수 있는 능력 내에서 술을 적당히 마시는 것은 괜찮을 수 있습니다. 그러나 간의 처리 능력을 넘어서는 과도한 음주는 간에 지방을 축적시키며 술의 대사산물은 간세포(Hepatocyte)를 손상시킵니다.
과도한 음주뿐만 아니라 잦은 빈도의 음주는 손상된 간세포가 회복하고 재생할 시간적 여유를 주지 않습니다. 그리고 체내의 영양부족 상태를 같이 유발하기 때문에 술에 의한 간 질환을 유발하게 됩니다. 술이란 무엇일까요? 술로 인해 발생할 수 있는 간 질환은 무엇이 있을까요? 한 번 알아보겠습니다.
술이란?

술의 주성분은 물과 알코올(Alcohol)입니다. 알코올은 1g 당 7kcal의 높은 열량을 낼 수 있지만 체내에서는 이를 효율적으로 이용할 수 없기 때문에 ‘빈 에너지’입니다. 또한 열량은 있으나 영양분을 함유하고 있지 않아 습관적인 음주는 영양결핍을 초래합니다.
알코올에 의한 간 질환의 발생 정도는 술의 종류나 술을 마시는 방법에 따라서 달라지지 않습니다. 가장 중요한 것은 섭취한 알코올의 양과 음주 횟수(음주 기간)입니다. 즉 섭취하는 알코올의 양이 많을수록, 음주 횟수가 많거나 음주 기간이 길수록 알코올에 의한 간 질환이 발생할 가능성이 높습니다.
일반적으로 남자는 하루 알코올 40g 이하(하루 포도주 2잔, 소주 반 병 정도), 여자는 하루 20g 이하의 음주량이 안전한 것으로 알려져 있습니다.(소주 1잔, 맥주 1잔 = 알코올 10g)
그러나 사람마다 간이 알코올을 처리하는 능력이 다르고 유전적 요인, 영양상태, 바이러스 간염 보유 여부, 당뇨병과 같은 동반질환의 여부 등의 차이가 있으므로 안전한 음주량은 각 개인마다 다릅니다. 아래의 음주량 계산기로 대략적인 위험음주 여부를 계산해 보시기 바랍니다.
술로 인해 발생할 수 있는 간 질환
크게 3가지가 있으며 알코올성 지방간, 알코올성 간염, 알코올성 간경변증입니다.
1. 알코올성 지방간 (Alcoholic fatty liver)
알코올성 지방간은 음주로 인해 간에 지방이 많이 축적된 상태입니다. (정상 간의 경우 지방이 차지하는 비율은 5%인데 이보다 많은 상태입니다.) 알코올성 지방간은 만성적인 음주자의 90~98%에서 발생하는데 일반적으로 자각증상이 거의 없습니다. 증상이 있다고 하더라도 간이 비대해지면서 발생하는 복부 불편감이나 피로감 등의 비특이적인 증상을 호소하므로 알아내기가 쉽지 않습니다.
대부분은 병원을 방문해서 시행한 간 기능 검사(AST, ALT 등)나 복부 초음파를 통해 우연히 발견하게 됩니다. 따라서 술을 많이 마신다면 병원에서 검사를 받아보는 것이 필요하겠습니다. 다행스럽게도 알코올성 지방간은 술을 중단하면 수주~수개월 내에 정상으로 회복이 가능합니다.
2. 알코올성 간염(Alcoholic hepatitis)

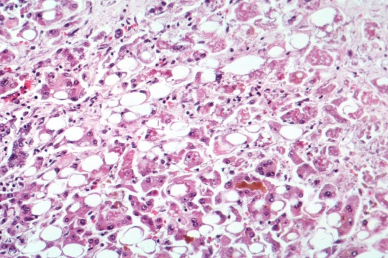
알코올성 간염의 조직 검사 소견, 다수의 지방세포(흰색) 출처 : 위키피디아
알코올성 간염은 간세포가 파괴되고 간에 염증이 있는 상태입니다. 식욕감소, 구역, 구토, 복통, 체중 감소 등의 증상이 있으며 심한 경우에는 황달, 복수 등의 증상이 발생할 수 있습니다.
간 기능 검사(AST, ALT 등)에서 간 기능 저하 소견(AST, ALT 상승)이 보일 수 있습니다. 알코올성 간염의 초기에는 금주하면 호전이 가능하지만, 중등증 이상이 되면 알코올성 간경변증으로 진행할 수 있습니다.
3. 알코올성 간경변증(Alcoholic liver cirrhosis)

출처 : 위키미디어
알코올성 간경변증은 간세포가 파괴된 상태로 회복이 안되고 있고 지속적인 염증으로 반흔 조직(Scar tissue)에 의해 재생결절(Regenerative nodules)로 대체되어 있는 상태입니다. 따라서 간이 정상적인 기능을 할 수 없습니다.
술로 인해 발생하는 간 질환 중 가장 심한 형태입니다. 피부에 거미혈관종(Spider angioma), 성 기능 저하, 여성형 유방 발생 등의 증상이 있고 복수, 위식도 정맥류, 간성뇌증 등의 합병증이 종종 동반됩니다. 또한 간암이 발생할 위험이 높아집니다.
금주를 한다고 해서 간이 완전히 회복할 수 있는 단계는 아니지만, 금주를 하면 더 이상의 진행을 감소시킬 수 있고 합병증과 사망률을 줄일 수 있습니다. 따라서 반드시 금주해야 합니다.
치료 목표는 알코올성 간경변증이 더 악화되는 것을 늦추면서 발생하는 증상을 조절하는 것이며 이를 위해서는 병원에서 전문적인 치료를 받아야 합니다. 완치를 위한 유일한 치료는 간 이식입니다.
결론
이상으로 술로 인해 발생할 수 있는 간 질환에 대해 알아보았습니다.

출처 : 위키미디어
알코올성 간질환의 전문적인 치료는 의사의 몫이며 병원에 꾸준히 다니면서 치료해야 합니다. 그러나 알코올성 간 질환을 앓는 환자가 스스로 할 수 있는 가장 중요한 치료는 술을 완전히 끊는 것 바로 금주입니다. 이것이 치료의 근간이며 핵심입니다.
금주는 가능한 한 빨리 시작하는 것이 좋고 금주를 지속하는 것이 더욱 중요합니다. 술을 완전히 끊는 것이 어렵다면 음주량을 줄이는 것도 도움이 될 수 있습니다. 그러나 완전한 금주보다 더 좋은 치료는 없기 때문에 반드시 금주를 해야 합니다.
알코올성 간 질환이 있는 분이라면 올해는 완벽한 금주를 목표로 하여 건강을 되찾고 행복한 삶을 누리는 것은 어떨까요? 금주의 의지를 새롭게 다져 알코올성 간 질환을 반드시 이겨냈으면 합니다.